• Home
  • Chemistry
  • Astronomy
  • Energy
  • Nature
  • Biology
  • Physics
  • Electronics
  • Novel Drug Compounds Show Promise in Lowering Prion Protein Levels
    Novel Drug Compounds Show Promise in Lowering Prion Protein Levels
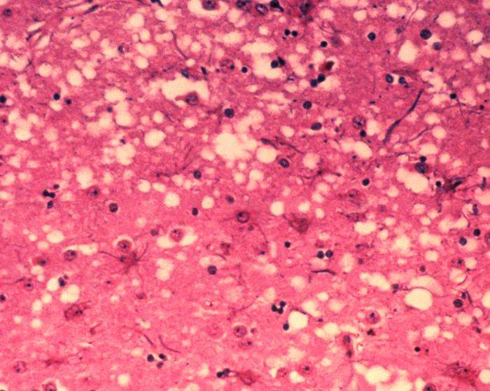
    This micrograph of brain tissue reveals the cytoarchitectural histopathologic changes found in bovine spongiform encephalopathy. The presence of vacuoles, i.e. microscopic “holes” in the gray matter, gives the brain of BSE-affected cows a sponge-like appearance when tissue sections are examined in the lab. Credit: Dr. Al Jenny - Public Health Image Library, APHIS: Public domain

    Prions are the abnormal, pathogenic agents that are transmissible and are able to induce abnormal folding of specific normal cellular proteins.

    Prion disease is an umbrella term for a group of fatal and currently untreatable neurodegenerative diseases that not only affect humans, but also wild and captive animals. These diseases include Creutzfeldt-Jakob disease (CJD) in humans, bovine spongiform encephalopathy (BSE, or "mad cow disease"), and chronic wasting disease (CWD) affecting deer, elk and moose.

    The central event in these diseases is the conversion of the prion protein (PrPC) from its normal shape into a pathological structure (PrPSc) that is toxic to neurons and can replicate itself through binding to unconverted PrPC molecules. This ability to self-replicate makes these misfolded proteins infectious, which has enormous implications for public health.

    In a new study, researchers from Boston University Chobanian & Avedisian School of Medicine have identified 10 compounds that are able to reduce PrPSc levels in infected cells and have shown that the most potent molecules can also prevent the toxicity that was observed when applying PrPSc to cultured neurons.

    "Excitingly, five of these molecules have a history of use in humans: rimcazole and haloperidol for neuropsychiatric conditions, (+)-pentazocine for neuropathic pain, and SA 4503 and ANAVEX2-73, which are in clinical trials for ischemic stroke and Alzheimer's disease, respectively," explained lead author Robert C.C. Mercer, Ph.D., an instructor of biochemistry and cell biology at the school.

    The researchers had initially explored the anti-prion properties of these molecules because they were known to bind to the sigma receptors (σ1R and σ2R), which they had reason to believe were involved in prion proliferation. Using gene knockout technology (CRISPR), they determined that the sigma receptors were not the relevant targets of these drugs, from the perspective of their anti-prion properties.

    Using Neuro2a cells (N2a) from an experimental model that had been infected with prions, these cells were then exposed to increasing concentrations of each drug, and the levels of PrPSc were determined. They then used CRISPR technology to "edit" the σ1R and σ2R genes, such that they no longer coded for a protein, and found this had no effect upon the decrease in PrPSc levels they observed when applying the drugs.

    This led them to conclude that σ1R and σ2R were not responsible for the anti-prion effects of these drugs. They then went on to test the ability of these drugs to inhibit the PrPC to PrPSc conversion and found they had no effect on these cell-free reactions, indicating that another protein mediates the effects of these drugs.

    According to the researchers, prion diseases have enormous public health implications from the safety of the blood supply to the proper decontamination of surgical tools used in neurosurgery.

    "From a clinical standpoint, we believe this research has uncovered anti-prion properties of drugs that have already been shown to be safe to use in humans. Because of this, especially considering the absence of any effective treatment for these diseases, these compounds could be re-purposed for treatment of prion diseases," said corresponding author David A. Harris, MD, Ph.D., the Edgar Minas Housepian professor and chair of biochemistry & cell biology at the school.

    These findings appear online in the journal ACS Chemical Neuroscience.

    More information: Robert C. C. Mercer et al, Sigma Receptor Ligands Are Potent Antiprion Compounds that Act Independently of Sigma Receptor Binding, ACS Chemical Neuroscience (2024). DOI: 10.1021/acschemneuro.4c00095

    Journal information: ACS Chemical Neuroscience

    Provided by Boston University School of Medicine




    Science Discoveries © www.scienceaq.com