• Home
  • Chemistry
  • Astronomy
  • Energy
  • Nature
  • Biology
  • Physics
  • Electronics
  • Unveiling the Intricate Nanostructure of Human Bone
    Unveiling the Intricate Nanostructure of Human Bone

    Three variations of bone structure as observed by TEM and corresponding electron diffraction patterns. Credit: N. Reznikov et al., Science (2018)

    Scientists have produced a 3-D nanoscale reconstruction of the mineral structure of bone.

    Bone performs equally well whether in an accelerating cheetah or in a heavy elephant, thanks to its toughness and strength.

    The properties of bone can be attributed to its hierarchical organisation, where small elements form larger structures.

    However, the nanoscale organisation and relationship between bone's principle components—mineral and protein—have not been fully understood.

    Using advanced 3-D nanoscale imaging of the mineral in human bone, research teams from the University of York and Imperial College London have shown that the mineral crystals of bone have a hierarchical structure integrated into the larger-scale make-up of the skeleton.

    Researchers combined a number of advanced electron microscopy-based techniques, and found that the principal building blocks of mineral at the nanometre scale are curved needle-shaped nanocrystals that form larger twisted platelets that resemble propeller blades.

    The blades continuously merge and split throughout the protein phase of bone. The interweaving mineral and protein form continuous networks to provide the strength essential for functional bones.

    Unveiling the Intricate Nanostructure of Human Bone

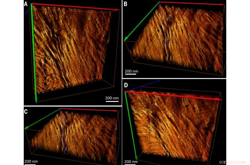
    Reconstructed and rendered STEM tomogram in different projections of an FIB-milled specimen of mature human lamellar bone. Credit: N. Reznikov et al., Science (2018)

    Lead author, Associate Professor Roland Kröger, from the University of York's Department of Physics, said: "Bone is an intriguing composite of essentially two materials, the flexible protein collagen and the hard mineral called apatite".

    "There is a lot of discussion about the way these two stiff and flexible phases uniquely combine to provide toughness and strength to bone.

    "The combination of the two materials in a hierarchical manner provides bone with mechanical properties that are superior to those of its individual components alone and we find that there are 12 levels of hierarchy in bone."

    Dr. Natalie Reznikov, formerly of Imperial College, London and an author on the paper, said: "If we compare this arrangement, for example, to an individual living in a room of a house, this extends to a house in a street, then the street in a neighbourhood, a neighbourhood in a city, a country and on it goes. If you continue to 12 levels you are reaching the size of a galaxy! "

    Professor Molly Stevens, from Imperial College, London, added: "This work builds on the shoulders of many beautiful previous studies investigating the fundamental properties and structure of bone and helps to unlock an important missing piece of the puzzle."

    Animation explaining the hierarchical organization of bone from the macroscopic to the nanoscale. Credit: Natalie Reznikov, McGill University

    Besides the large number of nested structures in bone, a common feature of all of them is a slight curvature, providing twisted geometry. To name a few, the mineral crystals are curved, the protein strands (collagen) are braided, the mineralized collagen fibrils twist, and the entire bones themselves have a twist, such as those seen in the curving shape of a rib for example.

    Fractals are common in Nature: you can see self-similar patterns in lightning bolts, coast lines, tree branches, clouds and snowflakes. This means that the structure of bone follows a fundamental order principle in Nature.

    The authors believe that the fractal-like structure of bone is one of the key reasons for its remarkable attributes.

    The findings are published in the journal Science.


    Science Discoveries © www.scienceaq.com