• Home
  • Chemistry
  • Astronomy
  • Energy
  • Nature
  • Biology
  • Physics
  • Electronics
  • UC San Diego Scientists Develop Advanced Natural Sunscreen Using Melanin-like Nanoparticles
    UC San Diego Scientists Develop Advanced Natural Sunscreen Using Melanin-like Nanoparticles

    Scanning electron microscope image of the synthetic melanin-like nanoparticles, which protected skin cells from DNA damage. Credit: Yuran Huang and Ying Jones, UC San Diego

    Chemists, materials scientists and nanoengineers at UC San Diego have created what may be the ultimate natural sunscreen.

    In a paper published in the American Chemical Society journal ACS Central Science, they report the development of nanoparticles that mimic the behavior of natural melanosomes, melanin-producing cell structures that protect our skin, eyes and other tissues from the harmful effects of ultraviolet radiation.

    "Basically, we succeeded in making a synthetic version of the nanoparticles that our skin uses to produce and store melanin and demonstrated in experiments in skin cells that they mimic the behavior of natural melanosomes," said Nathan Gianneschi, a professor of chemistry and biochemistry, materials science and engineering and nanoengineering at UC San Diego, who headed the team of researchers.The achievement has practical applications.

    "Defects in melanin production in humans can cause diseases such as vitiligo and albinism that lack effective treatments," Gianneschi added.

    Vitiligo develops when the immune system wrongly attempts to clear normal melanocytes from the skin, effectively stopping the production of melanocytes. Albinism is due to genetic defects that lead to either the absence or a chemical defect in tyrosinase, a copper-containing enzyme involved in the production of melanin. Both of these diseases lack effective treatments and result in a significant risk of skin cancer for patients.

    UC San Diego Scientists Develop Advanced Natural Sunscreen Using Melanin-like Nanoparticles

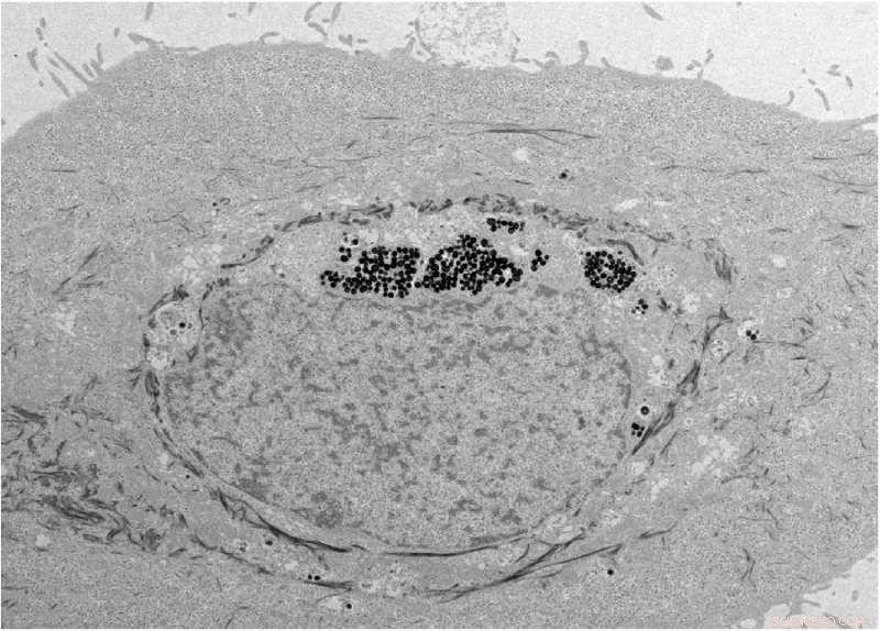
    The scientists found that the synthetic nanoparticles were taken up in tissue culture by keratinocytes, the predominant cell type found in the epidermis, the outer layer of skin. Credit: Yuran Huang and Ying Jones/UC San Diego

    "The widespread prevalence of these melanin-related diseases and an increasing interest in the performance of various polymeric materials related to melanin prompted us to look for novel synthetic routes for preparing melanin-like materials," Gianneschi said.Melanin particles are produced naturally in many different sizes and shapes by animals—for iridescent feathers in birds or the pigmented eyes and skin of some reptiles. But scientists have discovered that extracting melanins from natural sources is a difficult and potentially more complex process than producing them synthetically.

    Gianneschi and his team discovered two years ago that synthetic melanin-like nanoparticles could be developed in a precisely controllable manner to mimic the performance of natural melanins used in bird feathers.

    "We hypothesized that synthetic melanin-like nanoparticles would mimic naturally occurring melanosomes and be taken up by keratinocytes, the predominant cell type found in the epidermis, the outer layer of skin," said Gianneschi.

    In healthy humans, melanin is delivered to keratinocytes in the skin after being excreted as melanosomes from melanocytes.The UC San Diego scientists prepared melanin-like nanoparticles through the spontaneous oxidation of dopamine—developing biocompatible, synthetic analogues of naturally occurring melanosomes. Then they studied their update, transport, distribution and ultraviolet radiation-protective capabilities in human keratinocytes in tissue culture.

    The researchers found that these synthetic nanoparticles were not only taken up and distributed normally, like natural melanosomes, within the keratinocytes, they protected the skin cells from DNA damage due to ultraviolet radiation.

    "Considering limitations in the treatment of melanin-defective related diseases and the biocompatibility of these synthetic melanin-like nanoparticles in terms of uptake and degradation, these systems have potential as artificial melanosomes for the development of novel therapies, possibly supplementing the biological functions of natural melanins," the researchers said in their paper.


    Science Discoveries © www.scienceaq.com