• Home
  • Chemistry
  • Astronomy
  • Energy
  • Nature
  • Biology
  • Physics
  • Electronics
  • Gadonanotubes Show Strong Potential for Stem Cell Tracking via MRI
    Gadonanotubes Show Strong Potential for Stem Cell Tracking via MRI

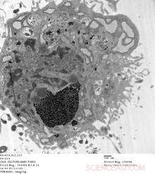
    Dark spots are aggregates of gadonanotubes (GNTs) in the cytoplasm of a mesenchymal stem cell. Tests show GNTs are highly effective for tagging and tracking stem cells through magnetic resonance imaging. (Credit: Lesa Tran/Rice University)

    (PhysOrg.com) -- Gadonanotubes (GNTs) developed at Rice University are beginning to show positive results in a study funded by a federal stimulus grant through the National Institutes of Health (NIH) last year.

    The study has determined GNTs are effective in helping doctors track stems cells through the body by making them 40 times better than standard contrast agents used in magnetic resonance imaging. Contrast agents help doctors spot signs of disease or damage in MR images.

    Researchers at Rice and the Texas Heart Institute at St. Luke's Episcopal Hospital in Houston reported in the journal Biomaterials that mesenchymal stem cells drawn from pig bone marrow labeled with GNTs are easily spotted under MRI. The technique holds promise for tracking the progress of tagged cells as they travel through a patient's body.

    Ultimately, the team hopes the magnetic properties of tagged stem cells will allow doctors to manipulate them in vivo and direct cells to specific locations -- in the heart, for instance -- where they can heal damaged tissue.

    GNTs are carbon nanotubes that contain gadolinium, an element commonly used in designing contrast elements for use in MRI. Though toxic, gadolinium is chelated, or chemically bound, which makes it safer for injection into the body. But clinical agents like the gadolinium-based Magnevist cannot enter cells.

    However, GNTs can. Invented in the lab of Rice chemistry professor Lon Wilson in 2005, the nanotubes sequester bundles of gadolinium ions, which enhance contrast in MRIs but cannot escape their carbon cages. This makes them biologically inert and safe for tagging cells from within.

    The team found GNTs did not affect the stem cells' ability to differentiate into other types of cells or to self-renew, though work continues to characterize their ability to adhere to cell scaffolds under various conditions.


    Science Discoveries © www.scienceaq.com