• Home
  • Chemistry
  • Astronomy
  • Energy
  • Nature
  • Biology
  • Physics
  • Electronics
  • New Cell Perturbation System Offers Promising Medical Applications
    New Cell Perturbation System Offers Promising Medical Applications

    This image depicts the delivery/sampling system. Credit: Northwestern McCormick School of Engineering

    Cell lines injected with free nucleic acid are widely used for drug discovery and disease modeling. To avoid genetically mixed cell populations, investigators use dilution techniques to select single cells that will then generate identical lines. However, the route of limiting dilutions is tedious and time consuming.

    A new study by Northwestern researchers shows how Nanofountain Probe Electroporation (NFP-E), a tool that delivers molecules into single-cells, could solve that issue, and could lead to new applications for drug screening and designing patient-specific courses of treatment.

    The team, led by Northwestern Engineering's Horacio Espinosa and including Joshua Leonard, demonstrates the versatility of NFP-E—which introduces DNA or RNA into cells using electricity. It can also deliver both proteins and plasmids in a variety of animal and human cell types with dosage control. The team included John Kessler, the Ken and Ruth Davee Professor of Stem Cell Biology and professor of neurology and pharmacology at the Northwestern University Feinberg School of Medicine.

    The new method can be used to study disease or for cell therapy. In the former, the genome is manipulated. In the latter, gene-editing occurs in cells such as T-cells to treat cancer with immunotherapies.

    By employing single-cell electroporation, the process of introducing DNA or RNA into single cells using a pulse of electricity, which briefly open pores in the cell membrane, their work shows how NFP-E achieves fine control over the relative expression of two co-transfected plasmids. Moreover, by pairing single-cell electroporation with time-lapse fluorescent imaging, their investigation reveals characteristic times for electro-pore closure.

    New Cell Perturbation System Offers Promising Medical Applications

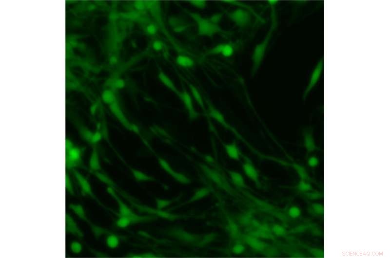
    The sampling before electroporation. Credit: Northwestern McCormick School of Engineering

    "We demonstrated the potential of the NFP-E technology in manipulating a variety of cell types with stoichiometric control of molecular cargo that can be used for conducting a wide range of studies in drug screening, cell therapies, and synthetic biology," said Espinosa, James N. and Nancy J. Farley Professor in Manufacturing and Entrepreneurship and professor of mechanical engineering and (by courtesy) biomedical engineering and civil and environmental engineering.

    Currently, biomolecules can be delivered into cells in numerous ways: viral vectors; chemical carriers, such as cell-penetrating peptides and polymer nano-capsules; lipofectamine, and bulk electroporation.

    "There exist a number of strategies for delivering biomolecules into cells, but each has its limitations," said Leonard, associate professor of chemical and biological engineering and Charles Deering McCormick Professor of Teaching Excellence. "For instance, chemical carriers confer relatively slow delivery and can be toxic to the cell; viral vectors are often efficient but can induce adverse immune responses and insertional genotoxicity. Use of any traditional method often requires substantial effort to optimize the protocol depending on the cell type and molecule to be delivered, and, therefore, a readily generalizable biomolecule delivery strategy would offer some meaningful advantages."

    The new NFP-E system enables single-cell delivery of DNA, RNA, and proteins into different immortalized cell lines as well as primary cells with more than 95 percent efficiency and more than 90 percent cell viability.

    "The results indicate that the cell membrane resealing time scales non-linearly with the pulse voltage and the number of electroporation pulses, reaching a maximum at intermediate values," Espinosa said. "That means long pulsing times or high voltages appear not to be necessary for efficient molecular transport across cell membranes. That feature is important in obtaining high transport efficiency while keeping cell toxicity to a minimum."

    New Cell Perturbation System Offers Promising Medical Applications

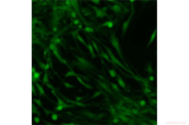
    The sampling after electroporation. Credit: Northwestern McCormick School of Engineering

    Using single-cell electroporation technology, the researchers were able to understand transport mechanisms involved in localized electroporation-based cell sampling. One obstacle to nondestructive temporal single-cell sampling is the small amounts of cytosol—the fluid inside cells—that are extracted, which makes it challenging to test or detect RNA sequences or proteins.

    Research showed that the scaling of membrane resealing time is a function of various electroporation parameters, providing insight into post-pulse electro-pore dynamics.

    "The work addresses the need to understand ways to increase the cytosol-sampled amount, without adversely affecting cells," Espinosa said. "That can guide the research community in designing experiments aimed at electroporation-based sampling of intracellular molecules for temporal cell analysis."

    This research is related to previous work that developed a minimally invasive method to sample cells that can be repeated multiple times. That earlier investigation, which used electric pulses to extract enzymes from the cytosol, assisted understanding of the kinetics of pore formation and closure.

    The paper, "Nanofountain Probe Electroporation Enables Versatile Single-Cell Intracellular Delivery and Investigation of Postpulse Electropore Dynamics" was published October 2 in the journal Small.


    Science Discoveries © www.scienceaq.com