• Home
  • Chemistry
  • Astronomy
  • Energy
  • Nature
  • Biology
  • Physics
  • Electronics
  • Shrimp Shell‑Derived Polymer Shows Promise as Targeted Anti‑Cancer Drug Delivery System
    Shrimp Shell‑Derived Polymer Shows Promise as Targeted Anti‑Cancer Drug Delivery System

    These images show mouse mammary cancer cells taken under a microscope. In both images, green indicates the cell membrane, and blue indicates the nucleus. Cells in the bottom image have been treated with Taxol-loaded nanoparticles, while the cells in the top image have not. The red color indicates the presence of nanoparticles inside of the cells. Scale bar is 50 micrometers. Credit: Mu et al., Materials Today, 2020

    Drug delivery is a recurring conundrum in cancer treatment. Scientists have developed many anti-cancer therapeutics. But those drugs often harm healthy tissues, and drugs can even break down in the bloodstream before reaching the tumor site. Anti-cancer drugs can last longer if dissolved in certain chemical solutions, but many come with potentially toxic side effects.

    Nanoparticles are a promising type of drug delivery system. Also known as nanocarriers, these tiny particles can bind to drugs and protect them from degradation until they enter tumor cells. But their effectiveness as drug carriers and drug protectors, as well as potential toxicity in patients, depends significantly on their size, composition and chemical properties. Balancing these competing factors is a delicate process. Although researchers have made significant advances in nanomedicine in the last decade, it remained a formidable challenge to design and synthesize small, stable nanoparticles that could deliver sufficient drugs to treat solid tumors.

    Earlier this year scientists at the University of Washington announced that they have achieved such a balancing act with a nanoparticle-based drug delivery system that can ferry a potent anti-cancer drug through the bloodstream safely. As they report in a paper published in May in Materials Today, their nanoparticle is derived from chitin, a natural and organic polymer that, among other things, makes up the outer shells of shrimp.

    The team, led by Miqin Zhang, a UW professor of materials science and engineering and of neurological surgery, demonstrated that their chitin-derived system can successfully ferry Taxol, a potent anti-cancer drug that is also known as paclitaxel, through the bloodstream and inhibit tumor growth and spread, also known as metastasis, in mice. The nanoparticles showed no adverse side effects, likely since they are derived in part from naturally occurring polymer.

    "This could form the basis of a new class of nanoparticle delivery systems that can transport anti-cancer therapeutics through the body safely, with no toxic side effects from the nanoparticle material," said Zhang, who is also a faculty researcher with the UW Institute for Nano-Engineered Systems and the Molecular Engineering and Sciences Institute.

    Shrimp Shell‑Derived Polymer Shows Promise as Targeted Anti‑Cancer Drug Delivery System

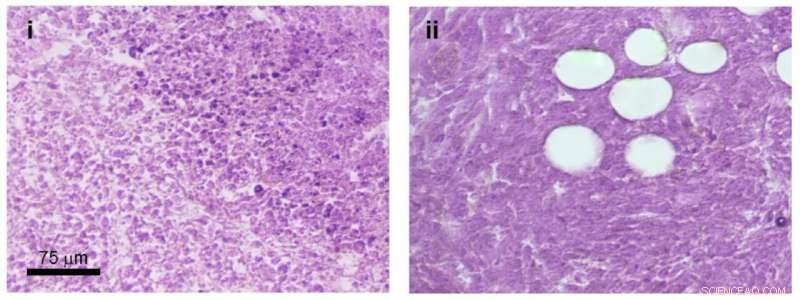
    These images show tissue samples taken from mouse mammary tumors. The image on the left is from a tumor that has not received any anti-cancer drug. The image on the right is from a tumor treated with Taxol-loaded nanoparticles. Cells on the right are abnormally shaped and are separated by white “bubbled” regions, which are seen in mouse tumors treated with Taxol. Scale bar is 75 micrometers. Credit: Mu et al., Materials Today, 2020

    The nanoparticles, once loaded with Taxol, are about 20.6 nanometers in diameter. That's about 1/4000th the width of a human hair, according to the U.S. National Nanotechnology Initiative. The particles are small enough to travel through blood vessels and get to potentially compact tumor sites.

    Zhang's team started by loading Taxol particles onto much longer strands of chitosan, a material derived from chitin. The nanofibers break down to form nanoparticles when exposed to serum, a blood protein, either in the lab or in the body. Researchers showed that drug-loaded nanofibers, when injected into mice, broke down rapidly into the tiny nanoparticles—thanks to serum proteins in the blood—and could circulate freely in the bloodstream, enter organs and reach tumor sites.

    The team subjected Taxol-loaded nanoparticles to a barrage of experiments to see what they could do to tumors. In cell cultures of mouse mammary cancer cells, a majority of cancer cells showed signs of cell death 48 hours after treatment, indicating that nanoparticle-associated Taxol could enter cancer cells and impair cell growth at least as well as free-floating Taxol. In mice, Taxol-loaded nanofibers, which broke down into nanoparticles, showed 90% inhibition of mammary tumor growth compared to about 66% inhibition for Taxol injected in the clinical solution used widely today. The nanoparticles also inhibited melanoma tumor growth in mice by up to 75%. In separate experiments in mice, Taxol-loaded nanoparticles also prevented spread of mammary cancer to other parts of the body, unlike Taxol in a clinical solution.

    In addition to these promising findings with tumors, the team found that the nanoparticles kept Taxol circulating in the bloodstream longer, giving the drug more time to reach the tumor site. In the bloodstream of mice, the half-life of Taxol-associated nanoparticles was nearly 25 hours, compared to less than 2 hours for Taxol injected in the clinical solution. Mice injected with the nanofibers showed no signs of toxic side effects, indicating that the nanoparticles themselves weren't causing harm to tissues. In contrast, the clinical solution used widely today for Taxol can cause liver toxicity in mice, among other side effects.

    Zhang believes that the chitosan-derived nanoparticles could form the basis of a non-toxic drug delivery system for cancer that keeps therapeutics in the body longer to inhibit tumor growth and metastasis.

    "This is a very promising finding. Many drug delivery systems used today for anti-cancer drugs come with toxic side effects, and don't protect the drug for very long in the patient's body," said Zhang. "The nanoparticles have all the characteristics you could hope for in getting the drug to into tumor cells. The small chitosan-based nanocarrier, made in situ, with unique biocompatibility and biodegradability, offers a new strategy for anti-cancer drug delivery and has great potential for rapid translation to the clinic."


    Science Discoveries © www.scienceaq.com