• Home
  • Chemistry
  • Astronomy
  • Energy
  • Nature
  • Biology
  • Physics
  • Electronics
  • New Breakthroughs Accelerate Parasite Research
    New Breakthroughs Accelerate Parasite Research

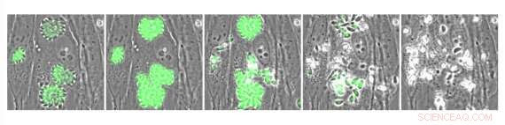
    Intracellular Toxoplasma parasites expressing the genetically encoded calcium indicator GCaMP. Parasites were treated with A23187, a compound that causes influx of calcium and stimulates parasite egress. Credit: Whitehead Institute for Biomedical Research

    Apicomplexan parasites infect hundreds of millions of people around the world each year. Several species of apicomplexan parasites in the Plasmodium genus cause malaria, while another apicomplexan species, Toxoplasma gondii (T. gondii), causes toxoplasmosis, a disease with flu-like symptoms that can be lethal for people with weakened immune systems. In spite of their impact, the biology of these disease-causing parasites is not very well understood and treatment options for infection are limited.

    One potential approach to treat infection could be drugs that disrupt the parasites' calcium signaling, which they rely on to spread from cell to cell in their hosts. The parasites need an influx of calcium in order to burst out of an infected host cell—a process called egress—and move through the host's body and invade other cells. In previous work, a researcher from Whitehead Institute Member Sebastian Lourido's lab, Saima Sidik, had tested a large collection of molecules and identified one called enhancer 1 (ENH1), which perturbed the parasites' calcium levels and prevented egress, as a promising anti-parasitic lead. However, the original experiments did not determine how ENH1 acts. In research published in the journal ACS Chemical Biology on June 29, Alice Herneisen, a graduate student in Lourido's lab, and Lourido, who is also an assistant professor of biology at the Massachusetts Institute of Technology, used an approach called thermal proteome profiling to discover how ENH1 prevents T. gondii parasites from egress. They identified the main target of ENH1 as a calcium-dependent molecule called CDPK1 that parasites use to prepare for egress, moving between cells, and invasion of host cells. ENH1 binds to and prevents CDPK1 from functioning.

    "Advances over the past few decades have made discovering a molecule's potentially therapeutic activity much easier, but the next step of figuring out how the molecule works is often still a challenge," Lourido says. "By applying newer expansive approaches, we are starting to build a more holistic picture of the parasites' cell biology."

    Understanding the biology responsible for a potential drug's observed effects is important because most drugs require modification before they are ready for human use—they may need to be made less toxic, more potent, or more amenable to the environment of the human body—and these sorts of modifications cannot be made until the molecule and its activity are understood.

    Herneisen decided to use a relatively new approach in parasites, thermal proteome profiling, to discover the targets of ENH1—the molecules it binds to, leading to its therapeutic effects. The approach works by graphing how each of the proteins inside the parasite reacts to changes in heat with and without being exposed to ENH1. One advantage of this approach is that it is unbiased, meaning that instead of researchers picking likely targets up front to test, they investigate as many molecules as possible, which can lead to unexpected findings. For example, Lourido has been investigating CDPK1 in other contexts for many years, and based on his lab's previous understanding of its role would not have expected it to be a main target of ENH1—such surprises can direct research in exciting new directions.

    Although CDPK1 is ENH1's main target, the investigations did not uncover the target that allows ENH1 to cause oscillations in the parasites' calcium levels. Finding this missing target is one of the lab's next goals.

    "The fact that ENH1 affects multiple aspects of calcium signaling may be what makes it such an effective antiparasitic agent," Herneisen says. "It's messing with the parasites on several levels."

    Translation of the research for clinical testing is a long way off, but there are multiple indicators that this is a promising direction for investigation. Not only is calcium signaling key to the parasites' life cycle and ability to spread inside of a host, but the molecules and mechanisms that the parasites use to modulate calcium levels are very different from the ones found in mammals. This means that a drug that disrupts the parasites' calcium signaling is unlikely to interfere with calcium signaling in human patients, and so could be deadly to the parasites without harming the patients' cells.


    Science Discoveries © www.scienceaq.com