• Home
  • Chemistry
  • Astronomy
  • Energy
  • Nature
  • Biology
  • Physics
  • Electronics
  • Oregon State Chemistry Breakthrough Paves Path for Novel Leukemia Drug Source
    Oregon State Chemistry Breakthrough Paves Path for Novel Leukemia Drug Source

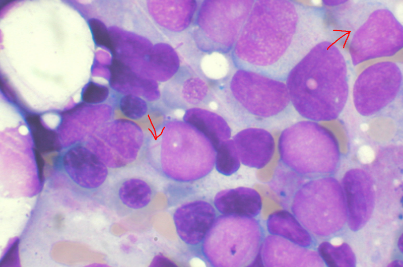
    Bone marrow aspirate showing acute myeloid leukemia. Several blasts have Auer rods. Credit: Wikipedia

    Chemistry researchers at Oregon State University have patented a method for making anti-leukemia compounds that until now have only been available via an Asian tree that produces them.

    The synthesis of cephalotaxine and homoharringtonine (HHT) paves the way toward less-expensive, more readily available leukemia drugs whose production is not subject to the risks and inefficiencies associated with harvesting natural sources.

    Also, the synthesis of cephalotaxine opens the door to preparing other, structurally related compounds for evaluation as potential new cancer drugs.

    "We want to partner with industry so we don't have to grow trees to get this anymore," said corresponding author Christopher Beaudry, associate professor of chemistry in OSU's College of Science. "And maybe we can come up with a more potent protein translation inhibitor, or a more selective inhibitor. There's also a chance this molecule can find application in blocking bacterial protein synthesis, which would be useful for treating antibiotic-resistant pathogens."

    Findings were published in Angewandte Chemie.

    HHT, also known as Synribo or omacetaxine mepesuccinate, is used to treat chronic myeloid leukemia, one of four main types of the disease.

    Historically, HHT has been made by adding an ester to cephalotaxine, an alkaloid derived from the leaves of an Asian tree: the plum yew. And the only way to get more cephalotaxine was to plant more plum yews.

    That's problematic, Beaudry said.

    "Trees don't grow very fast," he said. "And any kind of agricultural problem can affect production of the material. By using chemical synthesis, we can start with commodity chemicals to prepare cephalotaxine, and we will further optimize the process to make it commercially viable."

    Leukemia is a type of cancer that originates in the blood-forming cells of the bone marrow. Nearly 200,000 people in the U.S. are diagnosed with leukemia each year.

    Myeloid leukemias, which are also called myelocytic, myelogenous or non-lymphocytic leukemias, start in early myeloid cells. Myeloid cells are what eventually become platelet-making cells and white blood cells other than lymphocytes.

    Chronic myeloid leukemia develops slowly, and most patients can live with it for several years, but it's harder to cure than the acute form of the disease. It's characterized by a chromosome abnormality that results in a protein overproduction, leading to the proliferation of the cancer cells.

    Chronic myeloid leukemia is treated with drugs, such as Gleevec, that bind to a cancer-causing protein and inactivate it—until the cancer mutates and the drug doesn't work anymore, which is where HHT comes in. HHT shuts off production of all proteins that the fast-growing leukemia cells require.

    In addition, HHT holds promise for thwarting chronic myeloid leukemia stem cells, as well as for combating other cancer cell lines.

    Beaudry and graduate student Xuan Ju used an oxidative ring-opening of a furan, a type of organic compound, to trigger the HHT synthesis via a reaction known as a spontaneous transannular Mannich cyclization.

    "From start to finish—all nine steps from the chemical we buy—the yield is greater than 5 percent, which sounds terrible but is actually quite good," Beaudry said. "Typically the yield for any process would be much lower—think about how much tree mass is required to make HHT—and we think we can make further improvements as well."


    Science Discoveries © www.scienceaq.com