• Home
  • Chemistry
  • Astronomy
  • Energy
  • Nature
  • Biology
  • Physics
  • Electronics
  • Researchers Unveil Advanced Cell‑Suction Technology
    Researchers Unveil Advanced Cell‑Suction Technology

    Dots in the "Histogram Feature Quantities" correspond to each cell. Select and click the dots on the histogram to decide the cells for sucking. T based on the preset feature quantities range and area. Credit: Yokogawa Electric Corporation

    Single-cell mass spectroscopy is a technology to analyze target cell organelles almost as they are, by taking them out from a living cell at a desired time point using a nanospray tip while tracking the cell movement under microscope. This technology is highly expected to be a powerful tool to unravel molecular mechanisms of the deceases, single-cell diagnosis and personalized medicine. However, existing technology requires manual suction from an individual cell one by one, thus its precision highly depends on the proficiency level of operators. Also, it requires a significantly long time to analyze many cells. Accordingly, demands for automatic suction and much higher sampling efficiency have been growing.

    To overcome such problems, we have developed an automatic suction device by combining such technologies as cellular image analysis to select the target, precision positioning of the target location in a cell, and a software for one-click suction. Specifically, you capture microscopy images of cells and calculate their feature quantities, such as the shape and size, and fluorescent intensity. Since such feature quantities reflect the changes caused by drug dosages, they are useful as the objective reference to specify target cells and to maintain high reproducibility of sucked samples. (Fig.1)

    Moreover, Yokogawa Electric Corporation's proprietary confocal microscopy technology and image analysis methods enable three-dimensional measurement of the cell shape and precision positioning of the sucking location at the accuracy of the micron order.

    Concerning the detection of the tip position, we have developed a "detection by image intensity" method capable of detecting the tip location at the accuracy of less than one micron. (Fig.2 and Fig.3)

    Furthermore, learning from the expert operators' experiences, we have defined the most suitable position for sucking, and have incorporated this information in the software, which provides not only the sucking location but also sucking conditions such as pressure and time. As a result, users can suck the target cell organelles by one click while observing the images of the objective cell. The prototype model, which has all such new features, has successfully obtained a total of 22 samples per hour, which is 4 times more efficient than a manual operation, and thus succeeded in obtaining the specific substances from the target position of the objective cell at high efficiency and precision.

    Realization of a highly reproducible automatic suction device leads to the practical use of single-cell mass spectroscopy, which will be widely used for drug discovery, personalized medicine, and so on. In addition to mass spectroscopy, this suction device may be applied for other research, such as sucking a whole cell for mRNA analysis, injection of sucked substances into another cell, etc., and thus will contribute to a wide variety of research fields.

    Researchers Unveil Advanced Cell‑Suction Technology

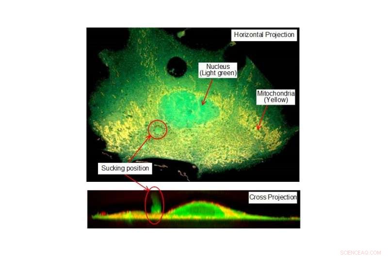
    Cross-section image shows the sucking process. The sucking tip is transparent, thus invisible. Credit: Yokogawa Electric Corporation




    Science Discoveries © www.scienceaq.com