• Home
  • Chemistry
  • Astronomy
  • Energy
  • Nature
  • Biology
  • Physics
  • Electronics
  • PDGFR Kinase Inhibitor Safeguards Mice From Septic Death by Modulating BTLA
    PDGFR Kinase Inhibitor Safeguards Mice From Septic Death by Modulating BTLA

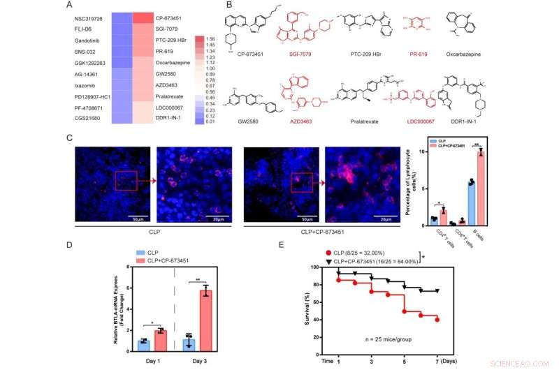
    A, Heatmap depicting the effect of drug library inhibitors on the expression level of BTLA in RAW264.7 cells by in-cell western blotting. The top 10 drugs that inhibit (left) and enhance (right) BTLA expression are noted. B, Structure of the compound identified to enhance BTLA activity. C, Immunofluorescence staining of spleen tissues in the CLP and CLP+CP-673451 group mice as assessed with anti-BTLA (red). Nuclei are stained with DAPI (blue). Scale bar, 20μm/50μm. Flow cytometry was used to detect BTLA expression in CD4+ T cells, CD8+ T cells and B cells in the spleen one day after sepsis. D, Bar graph comparing measurements of BTLA mRNA in mouse spleen samples of the CLP and CLP+CP-673451 groups on the 1st and 3rd days after sepsis. **, P <0.01. E, Analysis of the survival rate of CLP model mice treated with or without CP-673451. Credit: Science China Press

    In a study was led by Dr. Jianxin Jiang (Institute of Department of Trauma Medical Center, Daping Hospital, State Key Laboratory of Trauma, Burns and Combined Injury, Army Medical University), a team screened a highly selective kinase inhibitor library and found that CP-673451 can upregulate BTLA expression on immunocytes and reduce sepsis-related mortality.

    The team also found that CP-673451 treatment mainly enhanced BTLA expression in CD4+ T, CD8+ T cells and B cells. CP-673451 treatment was associated with reduced sepsis-induced lung injury such as infiltration of inflammatory cells and thickened alveolar septa were significantly reduced.

    CP-673451 administration can significantly reduce enzyme release in the heart, kidney and liver in septic mice. Furthermore, CP-673451 administration also reduced immune cell apoptosis. In conclusion, CP-673451 might reduce the mortality rate of septic mice by protecting the function of vital organs and reducing the apoptosis of immune cells.

    To further elucidate the mechanism by which CP-673451 reduces mortality in sepsis, the researchers observed its effect on cytokine release. The serum concentration of IL-1β, IL-6, IL-10, TNF-α decreased significantly after CP-673451 treatment in septic mice. Furthermore, the release of chemokines, such as CCL1, CCL2, CCL7 and CXCL13, was also reduced significantly after treatment with CP-673451 in septic mice.

    PDGFR Kinase Inhibitor Safeguards Mice From Septic Death by Modulating BTLA

    A, Serum cytokine levels of control, CLP and CP-673451-treated CLP group (CLP+CP-673451) mice were detected by cytokine array kits on the 1st and 3rd days post-sepsis. The cytokines labeled red were elevated after CLP but significantly reduced after treatment with CP-673451. The cytokines labeled blue were decreased after both CLP and treatment with CP-673451. B, CXCL13 release assayed using enzyme-linked immunosorbent assay (ELISA) from control and CLP with or without CP-673451 treatment on the 1st and 3rd days after sepsis. C, CXCL13 release assayed using ELISA in serum samples of sepsis patients and healthy volunteers. *, P<0.05; **, P<0.01. D, Serum cytokine and chemokine levels of control and CLP mice treated with or without CP-673451 were detected by Luminex liquid chip. Credit: Science China Press

    These results suggested that the selective PDGFR kinase inhibitor CP-673451 might inhibit the chemotaxis of T and B cells by inhibiting the release of chemokines such as CXCL13, CCL1, CCL2 and CCL7, thus reducing the release of cytokines by the two groups of immune cells to the peripheral blood. Consequently, CP-673451 alleviated the cytokine storm and decreased the mortality of sepsis. Therefore, the study provided a new therapeutic target and a new effective compound for sepsis.

    The research was published in Science China Life Sciences. + Explore further

    Consumer health: What do you know about sepsis?




    Science Discoveries © www.scienceaq.com