• Home
  • Chemistry
  • Astronomy
  • Energy
  • Nature
  • Biology
  • Physics
  • Electronics
  • Genetic Breakthrough Protects Angus Cattle Herds from Disease
    Genetic Breakthrough Protects Angus Cattle Herds from Disease
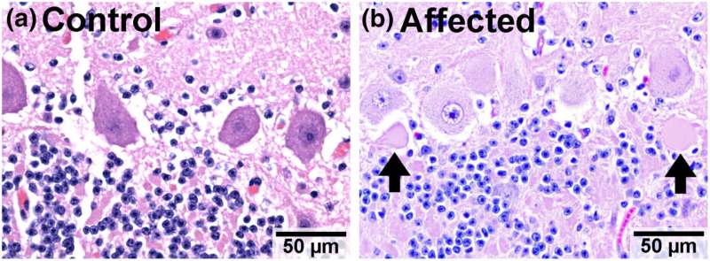
    Cerebellar tissue at the Purkinje cell layer from an unrelated control calf (a) and an affected calf (b). Arrows point toward swollen Purkinje cell axons. Credit: Animal Genetics (2024). DOI: 10.1111/age.13409

    When an East Texas cattle operation contacted Texas A&M AgriLife Extension Service cattle specialists in the Texas A&M College of Agriculture and Life Sciences Department of Animal Science after experiencing a rash of neurological, unknown issues with their calves, it started a seven-year search for answers.

    The calves exhibited an unsteady gait with stiffened limbs, then collapsed and convulsed. The periodic episodes lasted anywhere from three to 12 hours. The observed signs were consistent with familial convulsions and ataxia or cerebellar abiotrophy, first reported in Angus cattle in Scotland in 1968 and in the U.S. in 1996.

    Thomas Hairgrove, DVM, Ph.D., AgriLife Extension cattle veterinary specialist and professor in the Department of Animal Science, said diagnostic testing showed the samples submitted did not indicate an infectious or poisonous agent was involved, but parentage testing did indicate one bull sired all affected calves.

    But narrowing down the cause was only part of the journey—they needed to find the genetic markers to determine carrier bulls. Working with the support of the American Angus Association, Hairgrove said their end goal was to help producers ensure they were not buying a bull with that same genetic defect in the future.

    "The important thing to the industry is that now we have identified a genetic marker and subsequent DNA test for this genetic condition, and if someone is buying a bull, they can test for it," Hairgrove said. "Before our study, we knew it was male dominant, but you couldn't tell there was a problem until you had affected calves on the ground. Now we can test for that mutation and select away from it."

    Seven years of research

    Joining Hairgrove from the Department of Animal Science in the research—first the cause and then the identification of the genetic mutation—were AgriLife Extension coworkers Jason Banta, Ph.D., associate professor and beef cattle specialist in Overton; Ron Gill, Ph.D., professor and beef cattle specialist, Stephenville; and Joe Paschal, Ph.D., Corpus Christi, professor emeritus and livestock specialist.

    Beginning in 2016, the Texas A&M team attempted to find the responsible mutation by working with geneticists Jonathan Beever, Ph.D., at the University of Illinois, and Jessica Petersen, Ph.D., at the University of Nebraska at Lincoln.

    The AgriLife Extension specialists decided to collect and freeze semen from the identified bull before his return to the breeder. In an attempt to recreate the condition, 25 cows at the Texas A&M Department of Animal Science facilities and 11 cows at the University of Illinois were impregnated with the affected bull's semen. The cows calved in October 2018, with 11 calves at Texas A&M and one at the University of Illinois exhibiting clinical signs.

    Calves from the original Texas ranch herd and those from the Texas A&M herd were necropsied by Brian Porter, DVM, a clinical pathologist in the Department of Veterinary Pathobiology in the Texas A&M School of Veterinary Medicine and Biomedical Sciences. Porter found brain lesions with no other signs of disease or toxicity.

    Tissue samples from all affected calves from each herd and semen from the sire and grandsire of the calves were sent to Petersen in the fall of 2018, Hairgrove said.

    Striking out, only to finally succeed

    Hairgrove said even though they identified the cause, the goal of finding the answer to one question kept the project alive over the many years: How can I select against it?

    From 2016 until 2023, Petersen's lab worked on locating the mutation for this condition. It was found in the fall of 2023.

    The resulting study is published in the journal Animal Genetics.

    "We can now select against this condition. Until about a year ago, we kept striking out," Hairgrove said. "Many times, we were ready to give up, but we kept trying and finally figured it out. We found semen from the grandfather of that original bull we used in our study, and he did not have the mutation, so that helped identify the specific marker."

    That was the whole reason for the ongoing research, he said, to allow the Angus industry to test bulls before introducing them into their breeding herds.

    "We know it has been reported for years, and people see it in their herds, but they didn't know how to select against it," Hairgrove said. "Now they have a way to prevent it from entering their herd."

    More information: Rachel R. Reith et al, A de novo mutation in CACNA1A is associated with autosomal dominant bovine familial convulsions and ataxia in Angus cattle, Animal Genetics (2024). DOI: 10.1111/age.13409

    Provided by Texas A&M University




    Science Discoveries © www.scienceaq.com