• Home
  • Chemistry
  • Astronomy
  • Energy
  • Nature
  • Biology
  • Physics
  • Electronics
  • Organic Insecticides: Are They Really Safer? Impact on Beneficial Insects
    Organic Insecticides: Are They Really Safer? Impact on Beneficial Insects

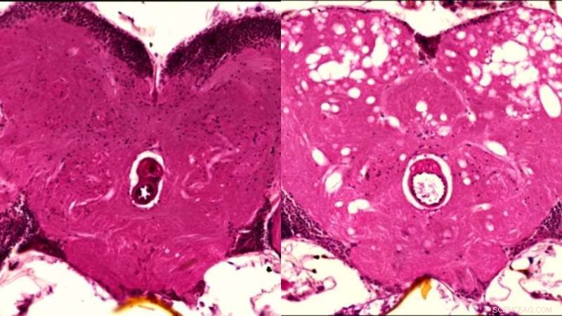
    A section of Drosphilia brain tissue observed under microscope before and after exposure to spinosad. The extensive white vacuoles are regions in the brain where cells have died (neurodegeneration). Credit: University of Melbourne

    Very low concentrations of the popular organic insecticide spinosad have profound effects on beneficial insect species, including vision loss and neurodegeneration, new research led by the University of Melbourne has found.

    The study, published in eLife, used the vinegar fly Drosophila to analyze the impact of chronic exposure to low concentrations (0.2 parts per million) of spinosad and the resulting physiological impacts on the brain and other tissues.

    Spinosad is commonly used to control insect pests including thrips, leafminers, spider mites, mosquitoes, ants and fruit flies, in both commercial and domestic settings.

    "Within a matter of 20 days, tiny doses of spinosad can have an alarming impact on the brains of adult Drosophila. Observing sections of brain tissue under microscope demonstrated there was an average of 17% of the fly brains destroyed due to exposure," said Dr. Felipe Martelli from Monash University, who completed this work as part of his Ph.D. at the University of Melbourne.

    "Neurons that serve vital functions die leaving large vacuoles, fluid-filled sacs, in the brain. This leads to neurodegeneration, blindness and behavioral changes in adult vinegar flies. Due to the Drosophila's genetic and biochemical similarities to other insects, the research indicates that these impacts could be translated to other beneficial insects such as bees," Dr. Martelli said.

    As a natural substance made by a soil bacterium, spinosad is often thought to be less harmful to beneficial insects and is frequently used as an alternative to synthetic insecticides, study co-author, Professor Philip Batterham, from the School of BioSciences and Bio21 Institute at the University of Melbourne said.

    "There is often an assumption that organic equates to safer, but our study finds this isn't the case. Spinosad is now registered for use in over 80 countries, and it poses a far greater risk to beneficial insects than previously thought. Concerningly, the low concentration levels used in this study is what would be commonly found in groundwater or in the air through incidental exposure."

    "Based on earlier work by our research group using similar techniques to this study, spinosad was found to have a much greater negative impact on vinegar flies at far lower doses than imidacloprid, a synthetic insecticide which has been banned in Europe for its impacts on non-target insects including honeybees," Professor Batterham said.

    "While this study does not aim to pin the blame on spinosad, it does show that having an organic label doesn't always mean safer. All insecticides, no matter their source, need to be rigorously studied for any unintended ecological impacts," Professor Batterham said.

    A collaboration between the University of Melbourne, Baylor College of Medicine in Houston and the University of Texas, this study adds to a growing body of evidence indicating that insecticides are contributing to the global decline in population sizes of many beneficial insect species.

    Dr. Martelli's research was enhanced by the opportunity to do experiments in the lab of a global leader in neuroscience, Professor Hugo Bellen at the Baylor College of Medicine.

    "Large-scale insecticide application is a primary weapon in the control of insect pests in agriculture, but we know that around the world insect populations are decreasing in size by about one percent each year; this decrease is largely in insects that are not pests," Professor Batterham said.

    "When you look at insect species disappearing it's almost like randomly pulling blocks out of a Jenga tower; its destabilizing ecosystems making them vulnerable to collapse."

    Science Discoveries © www.scienceaq.com