• Home
  • Chemistry
  • Astronomy
  • Energy
  • Nature
  • Biology
  • Physics
  • Electronics
  • New Soil Amoeba Species Discovered in Siberian Taiga
    New Soil Amoeba Species Discovered in Siberian Taiga

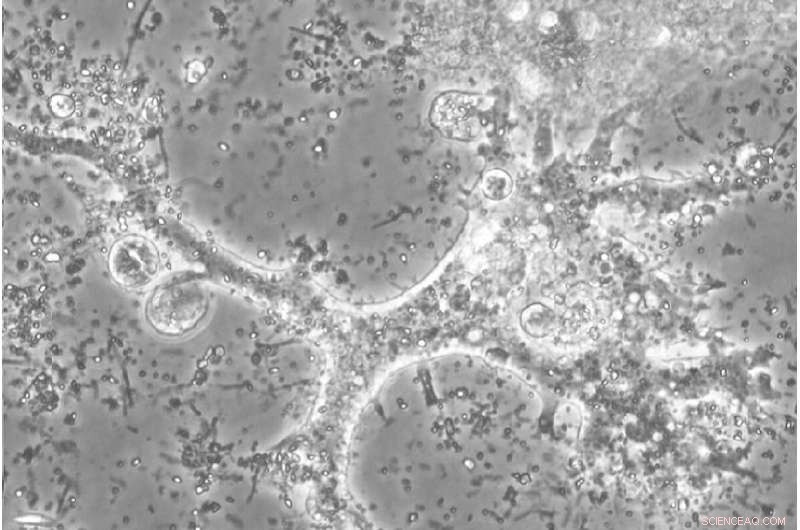
    Light microscopy of Leptomyxa silvatica n. sp. Credit: SPbSU

    Scientists from St Petersburg University, together with colleagues from Tomsk and Novosibirsk, have discovered a new species of soil amoeba Leptomyxa silvatica n. sp. in Chernevaya taiga located in the south of Western Siberia.

    Chernevaya taiga, which is also called the "Siberian jungle," is an area in Western Siberia that has its own unique ecosystem. It is listed in the World Wildlife Foundation's Global 200 project as an ecoregion with outstanding biodiversity.

    Alla Lapidus, Professor in the Department of Cytology and Histology at St Petersburg University, noted that the first thing that catches your attention in Chernevaya taiga is the completely unexpected gigantism of the herbaceous plants. In summer, the herbaceous cover of Chernevaya taiga has an average height of 1.5–2 meters, and in some areas it is tall enough to hide a person on horseback.

    "I came up with the idea that this plant gigantism is not so much the result of climatic conditions, but is most likely due to the unique properties of the soil microbiota. When this phenomenon is well explained, the discovery is most likely to find application in agriculture. We have already found some evidence to support this hypothesis," said Lapidus.

    Professor Lapidus added that the project to study Chernevaya taiga is an interdisciplinary research project conducted in collaboration with colleagues from National Research Tomsk State University. The project also involves researchers from: the All-Russian Research Institute for Agricultural Microbiology of the Russian Academy of Agricultural Sciences; the Institute of Molecular and Cellular Biology of the Siberian Branch of the Russian Academy of Sciences; and the Central Siberian Botanical Garden of the Siberian Branch of the Russian Academy of Sciences. The scientists are conducting research in the south of Western Siberia—a region with unique natural characteristics that have been largely understudied.

    "The scientists have studied the soil protozoa; in particular, the diversity of amoeboid protists, which play critical roles in soil ecosystems, the turnover of organic matter and energy in soil habitats. Our colleagues, project participants from St Petersburg University, made very interesting discoveries, including the discovery of a new soil amoeba species," clarified Alla Lapidus.

    Alexey Smirnov, Associate Professor in the Department of Invertebrate Zoology at St Petersburg University, emphasized that a number of rare and previously unknown amoeba species have been discovered in this study.

    Thus, when studying amoebae from the rare and highly productive soil of Chernevaya taiga the scientists found a new species of a leptomyxid amoeba showing 18s rDNA sequence significantly different from those of other known species of the order Leptomyxida. This species has both morphological and sequence differences from related ones. It was labeled Leptomyxa silvatica n.sp. from the Latin word for "forest"—silva. The full name of the new species means "originating from the forest" to signify that the amoeba was isolated from a forest soil habitat.

    "This discovery once again shows how little we know about the whole wide world of microscopic animals. Tens of thousands of heterotrophic protists can be found in a gram of forest soil. They are the most important natural component that regulates the functioning of communities of soil fungi and bacteria. At the morphological level, we know only a small portion of all this diversity. Molecular analyses of DNA extracted directly from various types of soils show that 'with our own eyes' we could see less than 5% of the organisms that live in soil. Not only individual species, but much of the extant soil biodiversity remains undiscovered. It is for this reason that modern morphological and molecular-genetic research is so important. Isolated DNA sequences can be used to identify their 'owners' who are literally living under our feet, while making a considerable contribution to the processes occurring in the soils of Chernevaya taiga," concluded Smirnov.

    The scientists emphasize that further in-depth research of Chernevaya taiga is vital, including for the purposes of protecting the soil in the "Siberian jungle." According to the experts, degradation of this unique natural resource will have irreversible negative consequences, when restoration of one of the rarest native ecosystems may prove impossible.

    Science Discoveries © www.scienceaq.com