• Home
  • Chemistry
  • Astronomy
  • Energy
  • Nature
  • Biology
  • Physics
  • Electronics
  • Optimizing siRNA Design for CNS Delivery: From Lab Innovation to Clinical Application
    Optimizing siRNA Design for CNS Delivery: From Lab Innovation to Clinical Application

    Optimization of the siRNA design for CNS delivery in the rat. (a) 5′ Sod1-targeting siRNA was conjugated to lipids via 2′-O position at N6 nucleotide of the sense strand and administered as a single IT bolus injection to rats at 0.9 mg (on the basis of siRNA sequence I). Spinal cord and brain regions were collected 2 weeks post-dose for Sod1 mRNA knockdown measurement by RT–qPCR. n = 4 animals per group. (b) Single C16 modification walk across sense strand and antisense strand of siRNA and transfected into RPE-J cells for potency assessment via RT–qPCR. n = 3 biologically independent samples. (c) C16 at various positions of Sod1-targeting siRNA was evaluated after a single IT bolus injection to rats at 0.9 mg for knockdown in spinal cord and brain regions by RT–qPCR. n = 3 animals per group. (d) Partially or fully modified (ESC, ESC+) 5′-VP-modified Sod1-targeting siRNA (Supplementary Table 1) was conjugated to C16 at N6 of the sense strand and administered as a single IT bolus injection to rats at 0.9 mg. Spinal cord and brain regions were collected 2 weeks post-dose for Sod1 mRNA knockdown measurement by RT–qPCR. n = 3 animals per group for aCSF and partially modified; n = 5 animals per group for ESC; n = 2 animals per group for ESC+. e, Sod1-targeting siRNA was modified with VP at the 5′ end of the antisense strand, with 2′-O-C16 at N6 of the sense strand or with both and administered as a single IT bolus injection to rats at 0.9 mg. Spinal cord, brain regions and peripheral organs were collected at 1 month post-dose for Sod1 mRNA knockdown measurement by RT–qPCR. n = 3 animals per group. All error bars represent standard deviation. (f) Unconjugated or C16-modified Sod1-targeting siRNA was administered as a single IT bolus injection to rats at 0.9 mg, and siRNA biodistribution was assessed in whole brain at 24 h post-dose using IHC with anti-siRNA antibody. Three animals were analyzed per group with similar results. Credit: Nature Biotechnology (2022). DOI: 10.1038/s41587-022-01334-x

    It is now possible to deliver therapeutics based on short interfering RNAs to hepatocytes; however, new delivery solutions are necessary to target additional organs. In a new report now published in Nature Biotechnology, a team of researchers including Kirk M. Brown, Jayaprakash K. Nair, and Maja M. Manas, led by Vasant Jadhav at Alnylam Pharmaceuticals Cambridge MA, U.S., discussed the safe conjugation of 2'-O-hexadecyl (C16) to small interfering RNAs (siRNAs) for potent and durable silencing in target organs of rodents and non-human primates, with broad cell specificity. The experiments delivered sustained RNA interference activity for at least three months. The team observed intravitreal and intranasal administration, which relied on potent and durable knockdown. They investigated the preclinical efficacy of the siRNA targeting amyloid precursor protein via intracerebroventricular dosing in a mouse model of Alzheimer's disease, which ameliorated physiological and behavioral defects of the disease. The team showed the safety of C16 conjugation of siRNAs for therapeutic silencing of target genes outside the liver.

    RNAi-based therapeutics

    RNA interference (RNAi) therapeutics are based on an endogenous mechanism where short interfering RNAs (siRNAs) direct an RNA-induced silencing complex for genetic knockdown or genetic elimination. In this work, Brown et al built on nearly two decades of siRNA design and chemistry optimization to harness the RNA interference pathway in extrahepatic tissues, including the central nervous system, eye and lung. Patients with central nervous system diseases represent some of the highest unmet clinical needs with greatest therapeutic challenges, including gain-of-function mutations that make them suited for RNAi-based silencing. Researchers had recently conducted experiments with chemically modified siRNAs for potent silencing in preclinical models via an invasive intracerebroventricular administration approach, unsafe for repeated dosing in humans.

    Biochemists are currently developing approaches to enable siRNA delivery across the blood brain barrier that are still in the early stages of discovery. Brown et al showed how the conjugation of 2'-O-hexadecyl (C16) can enhance the delivery and siRNA uptake onto the alveolar and bronchiolar epithelium. They combined a C16 lipophilic modification with chemically modified and metabolically stable siRNAs for efficient delivery to target organs for robust and durable gene silencing in rodents and non-human primates. The experiments provided a favorable safety profile to generate multiple candidates to investigate clinical safety and efficacy.

    Optimizing siRNA Design for CNS Delivery: From Lab Innovation to Clinical Application

    Characterization of the C16-siRNA in rat CNS. (a) siRNA IHC demonstrating robust neuronal and glial cell drug accumulation (magenta) in cerebral cortex (left panel). Dual IHC for the detection of siRNA and cell-type-specific targets in neurons (Map2), astrocytes (Gfap) and microglia (Iba1). siRNA signal in oligodendrocytes (Mbp) was below the IHC detection limit. Three animals were analyzed per group with similar results. (b) C16-siRNAs targeting CNS cell-type-specific transcripts were administered as a single IT bolus injection to rats at 0.9 mg. Spinal cord and brain regions were collected at 2 weeks post-dose (Gfap, Pecam1 and Mbp) or 1 month post-dose (Map2 and Iba1) for target mRNA knockdown measurement by RT–qPCR. n = 3 animals per group for aCSF, Gfap, Iba1 and Mbp; n = 6 animals per group for Map2; n = 2 animals per group for Pecam1. (c) C16-siRNA targeting Sod1 was administered as a single IT bolus injection to rats at 0.07 mg, 0.3 mg or 0.9 mg. Spinal cord and brain regions were collected at 1 month post-dose for target mRNA knockdown measurement by RT–qPCR. n = 3 animals per group. (d) C16-siRNA targeting Sod1 was administered as a single IT bolus injection to rats at 0.9 mg. Spinal cord, brain regions and peripheral organs were collected at indicated days post-dose, out to 6 months, for target mRNA knockdown measurement by RT–qPCR. n = 3 animals per group. (e) C16-siRNA targeting Sod1 was administered as a monthly IT bolus injection to rats at 0.3 mg for a total of up to five injections over 4 months. Spinal cord, brain regions and peripheral organs were collected at indicated days, out to 4.5 months, for target mRNA knockdown measurement by RT–qPCR. n = 3 animals per group. (f) Sod1 C16-siRNA was administered as single IT injections of 0.07 mg, 0.3 mg or 0.9 mg or monthly 0.3 mg injections for a total of up to five injections over 4 months. Frontal cortex concentrations show dose linearity in the single-dose escalation study in rats and additive exposure in the multi-dose arm. The straightforward pharmacokinetics of C16-siRNA in rat CNS are well-characterized by a first-order pharmacokinetic model (solid lines). n = 3 animals per group. All error bars represent standard deviation. Credit: Nature Biotechnology (2022). DOI: 10.1038/s41587-022-01334-x

    Optimizing the design of siRNA conjugates for brain biodistribution

    Brown et al carefully optimized the lipophilicity of chemically modified siRNAs to enhance the intracellular delivery of particles for broad and safe distribution. During the process, they harnessed the molecular position of the ribose sugar backbone to introduce the siRNA duplex and monitored RNA interference activity of siRNA conjugates in the central nervous system. The known siRNA design elements increased potency and specificity in the central nervous system to demonstrate the best activity after combining with vinyl phosphonate and C16, with up to 90 to 75 percent mRNA knockdown in the spinal cord and brain, respectively. The functional knockdown data of the conjugates showed superior brain biodistribution after a single injection in rats, compared to its unconjugated version.

    Efficient siRNA delivery in the rodent central nervous system (CNS)

    Optimizing siRNA Design for CNS Delivery: From Lab Innovation to Clinical Application

    Translation of C16-siRNA activity in NHP CNS. (a) APP-targeting siRNA (compounds VII, VIII, IX and X; Supplementary Table 1) was administered as a single IT bolus injection to cynomolgus monkeys at 60 mg, and, 3 months post-dose, tissue samples were analyzed for APP mRNA levels by RT–qPCR after 85 days. n = 5 animals per group for aCSF; n = 2 animals per group for +VP/+C16; n = 4 animals per group for −VP/+C16; n = 1 animal per group for +VP/−C16; n = 3 animals per group for −VP/−C16. (b) C16-siRNA targeting APP was administered as a single IT bolus injection to three cynomolgus monkeys at 60 mg. CSF was collected at indicated days post-dose, out to 9 months, for sAPPα and sAPPβ measurement relative to pre-dose. n = 3 animals per group. (c) C16-siRNA concentrations were evaluated by mass spectrometry from CNS tissue samples obtained from animals from a and b and from a third group of animals (n = 3) killed at 4.5 months after a 45 mg nominal dose. All error bars represent standard deviation. Credit: Nature Biotechnology (2022). DOI: 10.1038/s41587-022-01334-x

    The bioengineers designed small interfering RNAs against cell-type-specific targets to understand the C16-siRNA uptake and RNA interference activity across major cell types in the central nervous system. Using immunohistochemistry staining, they noted robust knockdown in neurons, astrocytes and microglial cells to highlight how C16-siRNAs were effectively taken up by most cell types of therapeutic relevance in the central nervous system. Brown et al noted dose-dependent knockdown of a gene encoding the enzyme superoxide dismutase (Sod1) in the spinal cord and brain, and assessed the process for a duration of six months. They also examined dose-dependent silencing in the frontal cortex with an siRNA half-life for up to three to four months, with capacity to examine in a pharmacokinetic model.

    The potential impact of small interfering RNAs (C16-siRNAs) in non-human primates

    The team assessed the potency of the conjugated compound in non-human primates via an amyloid precursor protein, targeting small interfering RNA. The siRNA containing both vinyl phosphonate and C16 showed best activity across the central nervous system, without side-effects on the liver or kidney at 3-months of drug therapy. The team used cerebrospinal fluid samples to study the duration of silencing in non-human primates and showed how dosing variability led to the observation of a robust exposure response relationship across the analyzed brain regions. The team then tested the safety and tolerability of the drug dose in non-human primates via histopathological evaluations of regions in the central nervous system at different time points, post-drug administration.

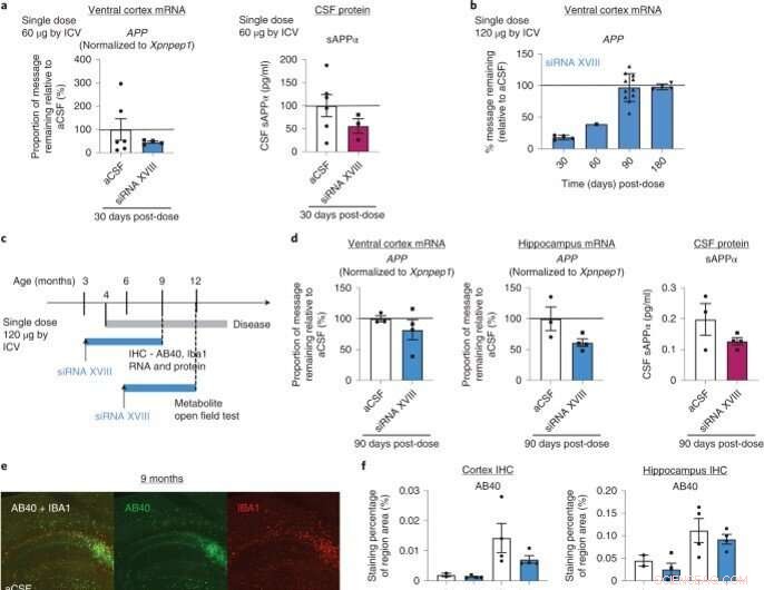
    Optimizing siRNA Design for CNS Delivery: From Lab Innovation to Clinical Application

    Efficacy of APP silencing in the CVN mouse model. (a) Human APP-targeting siRNA XVIII (Supplementary Table 1) reduced APP mRNA and sAPPα protein. aCSF, n = 6 per group; siRNA XVIII, n = 3 per group. (b) Single 120 µg ICV bolus dose showed ~75% reduction of APP mRNA at 30 days and >50% reduction at 60 days post-dose. Day 30 and Day 180, n = 4 per group; Day 60, n = 1 per group; Day 90, n = 11 per group. (c) Overview of the experimental design and disease progression in the CVN mice. Animals were dosed pre-symptomatically and assessed by IHC for changes in deposition of AB40 (e,f) and inflammation (IBA1) (e,g) within the cortex and hippocampus 3 months or 6 months post-dose. (d) After 3 months, a reduction of ~25% and ~50% of APP mRNA was observed in the cortex and hippocampus, respectively, which corresponded to a ~50% reduction in sAPPα protein. aCSF, n = 3 per group; siRNA XVIII, n = 4 per group. (f) Tissue AB40 deposits assessed by IHC. aCSF, n = 2 per group at 6 months; n = 4 for the remaining groups. (g) Tissue IBA1 levels assessed by IHC and qPCR (Iba1). aCSF, n = 2 per group at 6 months; n = 4 for the remaining groups. Simple linear regression was used to compare the slopes. *P < 0.05 (P = 0.0237 in the siRNA XVIII group). h, Glutamate and N-acetylaspartate levels as measured by 1H-MRS at 12 months of age (6 months post-dose) show normalization of glutamate levels in the siRNA-treated group. WT aCSF, n = 9 per group; n = 8 per group for the remaining groups. All error bars represent standard error. *P < 0.05. Unpaired t-test assuming equal variance was used. CR, creatine i, siRNA-treated animals show normalization of total distance traveled and rearing frequency. WT aCSF, n = 9 per group; n = 8 per group for the remaining groups. All error bars represent standard error. *P < 0.05, **P < 0.005. Unpaired t-test assuming equal variance was used unless indicated otherwise. NS, not significant. Credit: Nature Biotechnology (2022). DOI: 10.1038/s41587-022-01334-x

    Optimizing siRNA Design for CNS Delivery: From Lab Innovation to Clinical Application

    C16-siRNA distribution and activity in mouse lung. (a,b) C16-siRNAs were administered in mice intranasally at 10 mg kg−1 (Sod1) (a) or 30 mg kg−1 (Traf6) (b). Lungs were collected on day 10 or day 28 post-dose, respectively, for siRNA IHC. siRNA, magenta; hematoxylin counterstain, blue. Three animals were analyzed per group with similar results. (c) Sod1 mRNA knockdown was visualized by ISH on day 10 after 10 mg kg−1 IN dose of Sod1-targeting C16-siRNA. Sod1 mRNA, brown; hematoxylin counterstain, blue. Three animals were analyzed per group with similar results. (d) RT–qPCR of Sod1 mRNA in whole lung measured on day 10 after 0.3, 1, 3 or 10 mg kg−1 single IN dose or 30 mg kg−1 single IV dose of Sod1-targeting C16-siRNA. n = 3 animals per group. All error bars represent standard deviation. (e) RT–qPCR of Sod1 mRNA in whole lung measured at multiple time points after 10 mg kg−1 IN dose of Sod1-targeting C16-siRNA. n = 3 animals per group. Credit: Nature Biotechnology (2022). DOI: 10.1038/s41587-022-01334-x

    Preclinical efficacy of the conjugated compound in a mouse model

    Brown et al used transgenic mice with mutations specific to Alzheimer's disease to assess preclinical efficacy of the compound developed during research. The team showed how a single dose (60 µg) of the compound reduced the mutant protein levels in the ventral cortex and in cerebrospinal fluid, at a dose-variable timeframe. The scientists studied the dynamics of compound administration and used proton magnetic spectroscopy to determine decreased protein deposition and inflammation levels, to restore neuronal function. The team noted the reduction of specific metabolites in a CVN mouse strain, where the knockdown of specific genes normalized specific metabolites to bring it back to the same level of the wild type strain. The researchers further demonstrated the potent and durable activity of the compound in the eye and lung.

    Outlook: Clinical treatment developments

    In this way, Kirk M. Brown, Jayaprakash K. Nair, and Maja M. Manas and colleagues designed small interfering (siRNAs) for extrahepatic applications. The team combined lipophilic siRNA conjugates with additional design features for widespread distribution in the central nervous system of preclinical animal models via a clinically favorable safe dosing route. They conducted a proof-of-concept study in a preclinical mouse model to normalize behavioral deficits, with outcomes suited for clinical developments to treat early onset Alzheimer's disease and cerebral amyloid angiopathy. The conjugation strategy is also applicable in the eye and lung after local delivery. The team will conduct further studies to understand the precise mechanism behind the intracellular delivery of C16 for uptake into various cell types.

    Science Discoveries © www.scienceaq.com