• Home
  • Chemistry
  • Astronomy
  • Energy
  • Nature
  • Biology
  • Physics
  • Electronics
  • Enhancing Wellbeing Through Multicellular Life Cycles
    Enhancing Wellbeing Through Multicellular Life Cycles

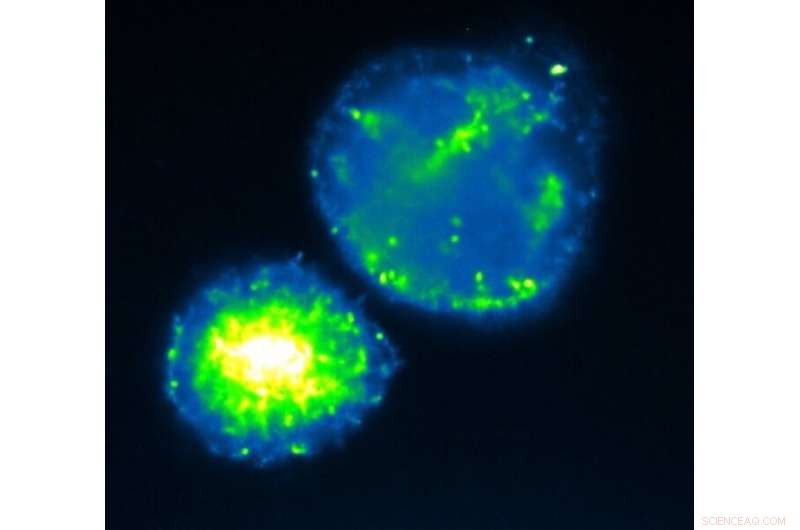
    Self-organized, spherical clusters of cells that decompose alginate. Differences in fluorescence indicate different metabolic states for the cells within the aggregate, a sign of the division of labor occurring during alginate decomposition. Credit: J. Schwartzman

    Cooperation is a core part of life for many organisms, ranging from microbes to complex multicellular life. It emerges when individuals share resources or partition a task in such a way that each derives a greater benefit when acting together than they could on their own. For example, birds and fish flock to evade predators, slime mold swarms to hunt for food and reproduce, and bacteria form biofilms to resist stress.

    Individuals must live in the same "neighborhood" to cooperate. For bacteria, this neighborhood can be as small as tens of microns. But in environments like the ocean, it's rare for cells with the same genetic makeup to co-occur in the same neighborhood on their own. And this necessity poses a puzzle to scientists: In environments where survival hinges on cooperation, how do bacteria build their neighborhood?

    To study this problem, MIT professor Otto X. Cordero and colleagues took inspiration from nature: They developed a model system around a common coastal seawater bacterium that requires cooperation to eat sugars from brown algae. In the system, single cells were initially suspended in seawater too far away from other cells to cooperate. To share resources and grow, the cells had to find a mechanism of creating a neighborhood. "Surprisingly, each cell was able to divide and create its own neighborhood of clones by forming tightly packed clusters," says Cordero, associate professor in the Department of Civil and Environmental Engineering.

    A new paper, published today in Current Biology, demonstrates how an algae-eating bacterium solves the engineering challenge of creating local cell density starting from a single-celled state.

    "A key discovery was the importance of phenotypic heterogeneity in supporting this surprising mechanism of clonal cooperation," says Cordero, lead author of the new paper.

    Using a combination of microscopy, transcriptomics, and labeling experiments to profile a cellular metabolic state, the researchers found that cells phenotypically differentiate into a sticky "shell" population and a motile, carbon-storing "core." The researchers propose that shell cells create the cellular neighborhood needed to sustain cooperation while core cells accumulate stores of carbon that support further clonal reproduction when the multicellular structure ruptures.

    This work addresses a key piece in the bigger challenge of understanding the bacterial processes that shape our earth, such as the cycling of carbon from dead organic matter back into food webs and the atmosphere. "Bacteria are fundamentally single cells, but often what they accomplish in nature is done through cooperation. We have much to uncover about what bacteria can accomplish together and how that differs from their capacity as individuals," adds Cordero.

    Science Discoveries © www.scienceaq.com