• Home
  • Chemistry
  • Astronomy
  • Energy
  • Nature
  • Biology
  • Physics
  • Electronics
  • Unlocking Liver Fitness: A Key Building Block for Healthy Aging
    Unlocking Liver Fitness: A Key Building Block for Healthy Aging

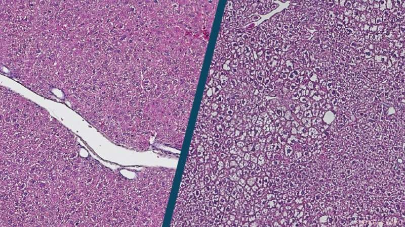
    The structure of the liver changes with age. Shown here is a histology image of young (left) and old (right) liver cells. Credit: Max Planck Institute for Biology of Ageing

    The liver can regenerate even in old age and remains surprisingly fit, even though the chromatin in its cells undergoes major remodeling due to epigenetic changes, as researchers from the Max Planck Institute for Biology of Aging in Cologne have now discovered. One possible reason why the transformation has minor consequences could be a mechanism that the researchers now describe in the journal Molecular Systems Biology.

    Changes in epigenetics are considered to be a cause of aging processes. Epigenetics describes changes in genetic information that do not alter the sequence of the genes themselves, but influence their activity. Among other things, this can be regulated by the accessibility of proteins to DNA as part of chromatin. In this study, the researchers observed in liver cells that the DNA of liver cells becomes much less packaged with age. This makes the DNA more accessible to produce the messenger molecule RNA. "If the DNA is readily accessible, we should also see greater amounts of RNA made. But that was not the case at all," says Peter Tessarz, head of the study.

    Shorter break at the DNA

    The researchers already have a possible explanation for this. They found that RNA polymerase, a protein that binds to DNA and then produces RNA, falls off from the DNA more quickly in aged liver cells than in young cells. This reduced stability means that, despite increased accessibility to DNA, there is no net increase in RNA production, maintaining the balance within the cell.

    "We think we have discovered a new pathway in cells that compensates for age-dependent epigenetic changes. This could be one reason for the liver's ability to keep functioning for so long. Whether a similar mechanism counteracts epigenetic changes in other tissues remains to be explored in the future. There, however, we also observe completely different epigenetic changes during aging," says Tessarz. + Explore further

    A fountain of youth for ageing stem cells in bone marrow




    Science Discoveries © www.scienceaq.com